Redaccion Aire Digital
A un preso australiano le sacaron de la nariz un globo de goma lleno de marihuana que había escondido 18 años atrás para que los guardias no se dieran cuenta. El hombre de 48 años lo recibió de parte de su novia cuando ella fue a visitarlo a prisión. Él pensó que se había tragado el paquete por accidente, pero estuvo dentro de su nariz todo este tiempo. A causa de esto, se le produjo un rinolito: piedra o cuerpo extraño que se forma dentro de la nariz que se construyen alrededor objetos externos al organismo.
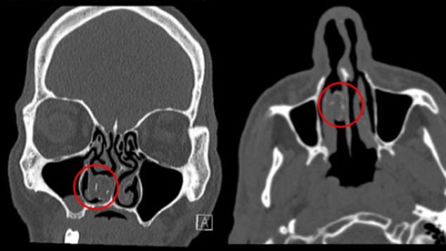
Los médicos le hicieron una placa cerebral porque tenía fuertes dolores de cabeza, un síntoma muy común de los rinolitos. Fue entonces cuando encontraron dicha lesión en su cavidad nasal y lo derivaron con el departamento de otorrinolaringología del Hospital Westmead de Sydney. El paciente reveló que tiene un largo historial de problemas similares: anteriormente tuvo infecciones, sinusitis y obstrucciones en la nariz.
En el hospital, le sacaron el pequeño paquete de marihuana que tenía el preso en la nariz. El paciente mismo fue quien reveló cómo llegó eso a su organismo. Los médicos dijeron en un informe: “Durante una visita a prisión, la novia del paciente le dio una porción pequeña de marihuana adentro de un globo de látex. Para evitar que las autoridades lo detecten, lo metió dentro de su fosa nasal derecha.
Accidentalmente, empujó el paquete más allá de lo deseado y dejó de sentirlo. Por eso, creyó que se lo había tragado”.
“No supo de la presencia del paquete en su nariz hasta que le hicieron la radiografía”, explicaron los doctores del hospital. “Hasta donde sabemos, este es el primer caso donde se formó un por un depósito de marihuana adquirido en prisión”.





Dejá tu comentario