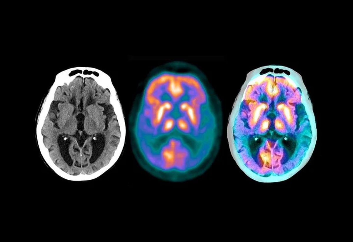
Un nuevo análisis de sangre puede detectar proteínas "tóxicas" años antes de que aparezcan los síntomas de la enfermedad de Alzheimer, según un estudio publicado en la revista Proceedings of the National Academy of Sciences (PNAS). Liderado por la Universidad de Washington (Estados Unidos), el trabajo constata que la prueba -aún en ensayo- podría ayudar a identificar a aquellos individuos en riesgo o que están empezando a desarrollar la enfermedad, y abrir la puerta al desarrollo de tratamientos tempranos para el Alzheimer.
Hoy en día, por lo general, los pacientes reciben el diagnóstico solo después de presentar signos bien conocidos de la enfermedad, como la pérdida de memoria, describe un comunicado de la citada universidad, que recuerda que en ese momento las mejores opciones de tratamiento se limitan a ralentizar la progresión de los síntomas.
Pero la investigación ha demostrado que "las semillas" del alzhéimer "se plantan" años antes -incluso décadas-, mucho antes de que aparezcan los trastornos cognitivos que hacen posible actualmente el diagnóstico.
Estas semillas son proteínas beta amiloides que se pliegan mal y se agrupan formando pequeños agregados llamados oligómeros. Con el tiempo, a través de un proceso que los científicos aún intentan comprender, se cree que esos oligómeros "tóxicos" de beta amiloides se convierten en Alzheimer.
En el artículo que se publica anteayer, el equipo de la Universidad de Washington describe una prueba de laboratorio que puede medir los niveles de oligómeros de beta amiloide en muestras de sangre.
Los investigadores testaron la prueba -conocida por el acrónimo SOBA- en muestras de sangre de 310 sujetos que previamente las habían facilitado, así como algunos de sus historiales médicos para la investigación del Alzheimer.
En el momento en que se tomaron las muestras, los sujetos estaban registrados como sin signos de deterioro cognitivo, deterioro cognitivo leve, enfermedad de Alzheimer u otra forma de demencia.
SOBA detectó oligómeros en la sangre de individuos con deterioro cognitivo leve y alzhéimer de moderado a grave. En 53 casos, el diagnóstico de los sujetos se verificó después de la muerte mediante una autopsia, y las muestras de sangre de 52 de ellos, que se habían tomado años antes de su muerte, contenían oligómeros tóxicos.
SOBA también detectó oligómeros en los miembros del grupo control que, según los registros, desarrollaron posteriormente un deterioro cognitivo leve.
"Lo que médicos e investigadores querían era una prueba diagnóstica fiable del Alzheimer, y no solo una que confirmara el diagnóstico, sino que también pudiera detectar signos de la enfermedad antes de que se produjera el deterioro cognitivo", afirma la autora principal Valerie Daggett. "Lo que demostramos aquí es que SOBA puede ser la base de una prueba de este tipo", agregó.
¿Y cómo funciona la prueba? Cuando las proteínas beta amiloides mal plegadas empiezan a agruparse en oligómeros forman una estructura conocida como lámina alfa; estas láminas tienden a unirse a otras láminas alfa.
El núcleo de SOBA es una lámina alfa sintética que puede unirse a oligómeros en muestras de líquido cefalorraquídeo o sangre. A continuación, el test utiliza métodos estándar para confirmar que los oligómeros unidos a la superficie de la prueba están formados por proteínas beta amiloides.
La novedosa plataforma está diseñada para unirse selectivamente a oligómeros tóxicos, "que es como encontrar una aguja en un pajar", según Daggett.
El equipo está trabajando ahora con científicos de AltPep, una empresa biotecnológica derivada de la Universidad de Washington, para convertir SOBA en una prueba de diagnóstico de los oligómeros.
El estudio también demostró que SOBA podría modificarse fácilmente para detectar oligómeros tóxicos de otro tipo de proteínas asociadas al párkinson y a la demencia de cuerpos de Lewy.
Te puede interesar







